
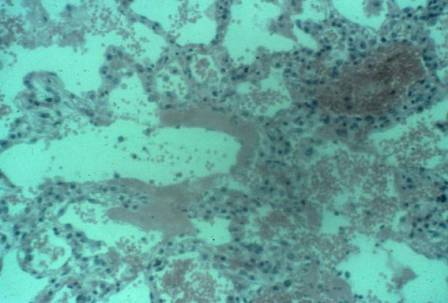
ARDS肺の顕微鏡構造:血管が増殖し、しかも壁が壊れて外に出ている。肺胞腔内に血球や血液成分が漏れているのがわかる。さらに、一部の肺胞壁には血漿成分が固まって付着している。これがいわゆる「硝子膜」である。
肺組織に黒っぽい紫色の斑点がみえるのが白血球(の核)で、つまり白血球の数が多い。ARDSは「肺の炎症」であり、白血球が集まっている。

ARDS肺の顕微鏡構造:血管が増殖し、しかも壁が壊れて外に出ている。肺胞腔内に血球や血液成分が漏れているのがわかる。さらに、一部の肺胞壁には血漿成分が固まって付着している。これがいわゆる「硝子膜」である。
肺組織に黒っぽい紫色の斑点がみえるのが白血球(の核)で、つまり白血球の数が多い。ARDSは「肺の炎症」であり、白血球が集まっている。